Ipoplasia dentale nei bambini: sintomi, cause e trattamento

Anomalie e difetti dei denti sono disturbi che colpiscono molti bambini e che preoccupano i genitori. Un esempio di questo è l’ipoplasia dentale.
Questo problema nei denti non solo altera il loro aspetto estetico, ma li predispone anche a soffrire di altri problemi, come la carie o la sensibilità.
Ecco perché è importante fare una diagnosi precoce ed effettuare un trattamento tempestivo. Da un lato, per migliorare la qualità della vita del bambino e dall’altro, per evitare problemi futuri. Non smettete di leggere!
Che cos’è l’ipoplasia dentale?
L’ipoplasia dentale nei bambini è un problema nello sviluppo dello smalto. Chi soffre di questa condizione ha uno o più denti con una quantità minore di questo tessuto o con una qualità scadente.
In genere accade quando l’elemento dentale è in formazione, cioè prima che esca in bocca. Pertanto, è comune che venga rilevato in tenera età, quando i denti sono appena spuntati.
Per comprendere meglio questo disturbo, è opportuno sapere che lo smalto è il tessuto più esterno e superficiale degli elementi dentali. È in gran parte costituito da cristalli di calcio e altri minerali ed è considerato il materiale più duro e resistente del corpo. La sua funzione principale è quella di coprire e proteggere i denti.
Quindi, in un’ipoplasia dentale, lo smalto è insufficiente o indebolito. Come vi diremo più avanti, diversi fattori possono alterare il processo di sviluppo dei denti e causare questo problema.
L’aspetto dell’ipoplasia dentale nei bambini varia a seconda della gravità del problema. In alcuni casi è molto evidente e altre volte viene rilevato solo dall’occhio esperto del dentista pediatrico. Diamo un’occhiata più da vicino alle sue manifestazioni.

Quali sono i sintomi?
Come già accennato, la gravità dell’ipoplasia dentale nei bambini può variare. Gradi lievi possono essere poco appariscenti e possono essere rilevati solo dal dentista.
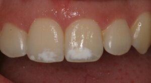
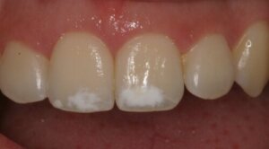
Ma in altri casi, sono i genitori a notare le manifestazioni del problema nei denti dei loro piccoli. Sulla superficie dello smalto possono essere visibili macchie o punti bianchi, linee, fessure, buchi, scanalature o ammaccature. Inoltre, la trama del difetto è ruvida e opaca.
Ci sono casi in cui l’ipoplasia dentale nei bambini appare giallastra o brunastra, poiché viene scoperta la dentina sottostante. E in occasioni più rare la forma del dente può essere alterata. Anche quando il disturbo è molto grave, può esserci una completa assenza di smalto e i denti sembrano più piccoli e deformi rispetto agli altri.
Poiché lo smalto è compromesso, possono verificarsi alcune complicazioni extra, come denti fragili, sensibilità dentale e una maggiore predisposizione a carie e gengiviti. Ebbene, avendo una minore protezione contro gli acidi e una maggiore presenza di difetti strutturali, viene facilitata la ritenzione della placca batterica.
Cause dell’ipoplasia dentale
A volte è difficile trovare la causa che dà origine all’ipoplasia dentale nei bambini, poiché il problema si verifica durante lo sviluppo dell’elemento dentale all’interno della gengiva.
Il più delle volte sono situazioni o condizioni che si verificano nei primi anni di vita del bambino a causare questo problema. Queste sono alcune delle circostanze comuni che possono causare ipoplasia dello smalto:
- Problemi in gravidanza: gli elementi dentali iniziano a formarsi quando il bambino è ancora all’interno dell’utero. Alcune malattie della madre, come le infezioni da febbre alta, il consumo di alcuni farmaci o carenze nutrizionali durante la gravidanza possono causare ipoplasia dentale nel feto in via di sviluppo.
- Problemi nella prima infanzia: nascite premature, basso peso alla nascita, carenza vitaminica, malnutrizione, infezioni, sindromi febbrili prolungate o malattie sistemiche in tenera età possono causare questo difetto dentale.
- Traumatismi: i colpi alla bocca durante l’infanzia possono intaccare l’elemento dente da latte e, attraverso la sua radice, ledere il germe del dente permanente che si sta formando al di sotto. Il pezzo definitivo sarà quello che presenta ipoplasia quando erutta.
- Ereditarietà: alcuni modelli genetici ereditari possono influenzare la formazione dei denti. A volte si verifica in un singolo dente e altre volte sono coinvolti diversi elementi. In alcuni casi, è anche associato ad altri sintomi che compongono una sindrome più complessa.
Trattamento dell’ipoplasia dentale nei bambini
Rilevare precocemente l’ipoplasia dentale nei bambini ci consente di affrontare il problema prima che compaiano complicazioni. Pertanto, sono essenziali consultazioni e controlli regolari con il dentista pediatrico.
Negli esami di routine, il professionista sarà in grado di trovare qualsiasi evidenza del difetto e agire in anticipo. A seconda del tipo di dentatura interessata, latte o permanente, le dimensioni e l’aspetto della lesione saranno le procedure da scegliere.
Il dentista ha diverse alternative per trattare l’ipoplasia dentale nei bambini. Quando i difetti compaiono nei denti da latte, di solito viene scelto per controllare la situazione, mantenere un’igiene orale completa e fare frequenti applicazioni topiche con fluoro. In questo modo cercano di evitare le complicazioni del disturbo, come carie, gengiviti e sensibilità.
Se l’autostima del bambino è fortemente influenzata dall’aspetto dei suoi denti, può ricorrere a qualche procedura estetica adeguata alla sua età.
Nel caso di protesi dentarie definitive, viene solitamente scelto l’uso di sigillanti. Le imperfezioni sono ricoperte da un materiale di riempimento dello stesso colore dei denti in buone condizioni.
Quando le macchie sono molto evidenti, è possibile utilizzare la microabrasione dentale. È una procedura attraverso la quale lo smalto dentale viene lucidato e poi ricoperto con resine dello stesso colore del dente normale.
Nelle situazioni più gravi, in cui i denti hanno perso molto del loro smalto o sono deformati, sono appropriate le ricostruzioni con resine. Almeno fino a quando il bambino non raggiunge un’età adeguata per ricorrere ad un altro tipo di trattamento estetico.
Lo sbiancamento dentale, le faccette e le corone in porcellana sono trattamenti odontoiatrici cosmetici utili per migliorare l’aspetto dei denti con ipoplasia dentale. Ma il suo uso non è raccomandato fino all’età adulta.

L’importanza di gire prontamente
L’ipoplasia dentale nei bambini, il più delle volte, non può essere prevenuta. Ma se rilevate segni che vi fanno sospettare che il vostro piccolo abbia questo problema, è meglio cercare un aiuto professionale il prima possibile. Prima viene diagnosticato e si agisce, minore sarà il rischio di complicazioni.
Inoltre, l’assistenza sanitaria orale con una corretta igiene orale, una dieta sana e visite regolari dal dentista pediatrico sono fondamentali per evitare conseguenze negative. Con queste cure di base potete proteggere lo smalto dei denti del vostro piccolo e aiutarlo ad avere un sorriso sano.
Anomalie e difetti dei denti sono disturbi che colpiscono molti bambini e che preoccupano i genitori. Un esempio di questo è l’ipoplasia dentale.
Questo problema nei denti non solo altera il loro aspetto estetico, ma li predispone anche a soffrire di altri problemi, come la carie o la sensibilità.
Ecco perché è importante fare una diagnosi precoce ed effettuare un trattamento tempestivo. Da un lato, per migliorare la qualità della vita del bambino e dall’altro, per evitare problemi futuri. Non smettete di leggere!
Che cos’è l’ipoplasia dentale?
L’ipoplasia dentale nei bambini è un problema nello sviluppo dello smalto. Chi soffre di questa condizione ha uno o più denti con una quantità minore di questo tessuto o con una qualità scadente.
In genere accade quando l’elemento dentale è in formazione, cioè prima che esca in bocca. Pertanto, è comune che venga rilevato in tenera età, quando i denti sono appena spuntati.
Per comprendere meglio questo disturbo, è opportuno sapere che lo smalto è il tessuto più esterno e superficiale degli elementi dentali. È in gran parte costituito da cristalli di calcio e altri minerali ed è considerato il materiale più duro e resistente del corpo. La sua funzione principale è quella di coprire e proteggere i denti.
Quindi, in un’ipoplasia dentale, lo smalto è insufficiente o indebolito. Come vi diremo più avanti, diversi fattori possono alterare il processo di sviluppo dei denti e causare questo problema.
L’aspetto dell’ipoplasia dentale nei bambini varia a seconda della gravità del problema. In alcuni casi è molto evidente e altre volte viene rilevato solo dall’occhio esperto del dentista pediatrico. Diamo un’occhiata più da vicino alle sue manifestazioni.

Quali sono i sintomi?
Come già accennato, la gravità dell’ipoplasia dentale nei bambini può variare. Gradi lievi possono essere poco appariscenti e possono essere rilevati solo dal dentista.
Ma in altri casi, sono i genitori a notare le manifestazioni del problema nei denti dei loro piccoli. Sulla superficie dello smalto possono essere visibili macchie o punti bianchi, linee, fessure, buchi, scanalature o ammaccature. Inoltre, la trama del difetto è ruvida e opaca.
Ci sono casi in cui l’ipoplasia dentale nei bambini appare giallastra o brunastra, poiché viene scoperta la dentina sottostante. E in occasioni più rare la forma del dente può essere alterata. Anche quando il disturbo è molto grave, può esserci una completa assenza di smalto e i denti sembrano più piccoli e deformi rispetto agli altri.
Poiché lo smalto è compromesso, possono verificarsi alcune complicazioni extra, come denti fragili, sensibilità dentale e una maggiore predisposizione a carie e gengiviti. Ebbene, avendo una minore protezione contro gli acidi e una maggiore presenza di difetti strutturali, viene facilitata la ritenzione della placca batterica.
Cause dell’ipoplasia dentale
A volte è difficile trovare la causa che dà origine all’ipoplasia dentale nei bambini, poiché il problema si verifica durante lo sviluppo dell’elemento dentale all’interno della gengiva.
Il più delle volte sono situazioni o condizioni che si verificano nei primi anni di vita del bambino a causare questo problema. Queste sono alcune delle circostanze comuni che possono causare ipoplasia dello smalto:
- Problemi in gravidanza: gli elementi dentali iniziano a formarsi quando il bambino è ancora all’interno dell’utero. Alcune malattie della madre, come le infezioni da febbre alta, il consumo di alcuni farmaci o carenze nutrizionali durante la gravidanza possono causare ipoplasia dentale nel feto in via di sviluppo.
- Problemi nella prima infanzia: nascite premature, basso peso alla nascita, carenza vitaminica, malnutrizione, infezioni, sindromi febbrili prolungate o malattie sistemiche in tenera età possono causare questo difetto dentale.
- Traumatismi: i colpi alla bocca durante l’infanzia possono intaccare l’elemento dente da latte e, attraverso la sua radice, ledere il germe del dente permanente che si sta formando al di sotto. Il pezzo definitivo sarà quello che presenta ipoplasia quando erutta.
- Ereditarietà: alcuni modelli genetici ereditari possono influenzare la formazione dei denti. A volte si verifica in un singolo dente e altre volte sono coinvolti diversi elementi. In alcuni casi, è anche associato ad altri sintomi che compongono una sindrome più complessa.
Trattamento dell’ipoplasia dentale nei bambini
Rilevare precocemente l’ipoplasia dentale nei bambini ci consente di affrontare il problema prima che compaiano complicazioni. Pertanto, sono essenziali consultazioni e controlli regolari con il dentista pediatrico.
Negli esami di routine, il professionista sarà in grado di trovare qualsiasi evidenza del difetto e agire in anticipo. A seconda del tipo di dentatura interessata, latte o permanente, le dimensioni e l’aspetto della lesione saranno le procedure da scegliere.
Il dentista ha diverse alternative per trattare l’ipoplasia dentale nei bambini. Quando i difetti compaiono nei denti da latte, di solito viene scelto per controllare la situazione, mantenere un’igiene orale completa e fare frequenti applicazioni topiche con fluoro. In questo modo cercano di evitare le complicazioni del disturbo, come carie, gengiviti e sensibilità.
Se l’autostima del bambino è fortemente influenzata dall’aspetto dei suoi denti, può ricorrere a qualche procedura estetica adeguata alla sua età.
Nel caso di protesi dentarie definitive, viene solitamente scelto l’uso di sigillanti. Le imperfezioni sono ricoperte da un materiale di riempimento dello stesso colore dei denti in buone condizioni.
Quando le macchie sono molto evidenti, è possibile utilizzare la microabrasione dentale. È una procedura attraverso la quale lo smalto dentale viene lucidato e poi ricoperto con resine dello stesso colore del dente normale.
Nelle situazioni più gravi, in cui i denti hanno perso molto del loro smalto o sono deformati, sono appropriate le ricostruzioni con resine. Almeno fino a quando il bambino non raggiunge un’età adeguata per ricorrere ad un altro tipo di trattamento estetico.
Lo sbiancamento dentale, le faccette e le corone in porcellana sono trattamenti odontoiatrici cosmetici utili per migliorare l’aspetto dei denti con ipoplasia dentale. Ma il suo uso non è raccomandato fino all’età adulta.

L’importanza di gire prontamente
L’ipoplasia dentale nei bambini, il più delle volte, non può essere prevenuta. Ma se rilevate segni che vi fanno sospettare che il vostro piccolo abbia questo problema, è meglio cercare un aiuto professionale il prima possibile. Prima viene diagnosticato e si agisce, minore sarà il rischio di complicazioni.
Inoltre, l’assistenza sanitaria orale con una corretta igiene orale, una dieta sana e visite regolari dal dentista pediatrico sono fondamentali per evitare conseguenze negative. Con queste cure di base potete proteggere lo smalto dei denti del vostro piccolo e aiutarlo ad avere un sorriso sano.
Tutte le fonti citate sono state esaminate a fondo dal nostro team per garantirne la qualità, l'affidabilità, l'attualità e la validità. La bibliografia di questo articolo è stata considerata affidabile e di precisione accademica o scientifica.
- Gamboa Valdez, M. R. (2016). hipoplasia del esmalte en paciente de 6 años sexo masculino. analisis de caso (Bachelor’s thesis, Universidad de Guayaquil. Facultad Piloto de Odontología).
- Margot, N. C. A., & Rubén, M. S. (2014). Tratamiento estético conservador con microabrasión sobre hipoplasias del esmalte en dientes permanentes jóvenes. Revista Tamé, 271-274.
- Silva, S. M. B. D., Lanza, C. R. M., Oliveira, F. S. D., & Machado, M. A. D. A. M. (1999). Tratamiento de hipoplasia del esmalte con la técnica de microabrasión en odontopediatría. Revista Odontológica Dominicana, 5(1), 9-14.
- Molina Morales, H., & Galván Calle, M. (2008). TRATAMIENTO DE DIENTES PERMANENTES JÓVENESCON HIPOPLASIA DEL ESMALTE. REPORTE DE CASO.
- Páucar, M. Á., Gonzales, K. Q., Cruces, V. R., & Obregón, R. M. C. (2009). Microabrasión dental para pacientes odontopediátricos: Una alternativa estética. Odontología sanmarquina, 12(2), 86-89.
- Ancco Olaguivel, N. R. (2017). Relación de la ingesta de amoxicilina con la hipoplasia de esmalte en niños de 7-10 años del hospital Rafael Ortiz Ravinez Juli–2016.
- Salazar, J. F. T., & Ortega, D. R. (2017). Signos dentales de la sífilis congénita. Revista Asociación Dental Mexicana, 74(6), 286-292.
- Poma Torres, E. M. (2021). Manejo y protocolo de atención de la hipoplasia en niños (Bachelor’s thesis, Universidad de Guayaquil. Facultad Piloto de Odontología).
- Rivera Molina, D., & Jiménez del Río, P. (2015). Hipoplasia del esmalte y su asociación con caries en niños de 5 a 14 años, en la provincia de Talca, 2015 (Doctoral dissertation, Universidad de Talca (Chile). Escuela de Odontología.).
- Ochoa Enríquez, K. J. (2015). Hipoplasias localizadas en los primeros molares permanentes y su tratamiento (Bachelor’s thesis, Universidad de Guayaquil. Facultad Piloto de Odontología).
Questo testo è fornito solo a scopo informativo e non sostituisce la consultazione con un professionista. In caso di dubbi, consulta il tuo specialista.






